nova tehnologija

FOTO Liječnica iz Mostara ušla u medicinsku povijest: Izvela revolucionarnu operaciju srca u SAD-u

Dr. Svjetlana Tišma-Dupanović operacija srca
Facebook
22.10.2025.
u 08:30

Ovo je prva takva operacija izvedena na Floridi i ujedno predstavlja veliki napredak u liječenju srčanih bolesti, osobito kod pacijenata s poremećajima srčanog ritma i oslabljenom pumpnom funkcijom srca.

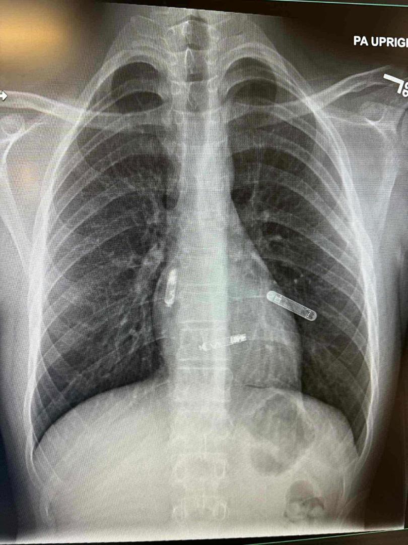
Prije nekoliko dana u američkoj saveznoj državi Floridi izvedena je revolucionarna kardiokirurška operacija koja će ući u medicinsku povijest.

Mostarka dr. Svjetlana Tišma-Dupanović, kardiologinja i pedijatrica, uspješno je pacijentu ugradila dvokomorni pacemaker izravno u srčane šupljine, u pretklijetku i klijetku, koji sinkronizirano potiču pravilan rad srca. Ovo je prva takva operacija izvedena na Floridi i ujedno predstavlja veliki napredak u liječenju srčanih bolesti, osobito kod pacijenata s poremećajima srčanog ritma i oslabljenom pumpnom funkcijom srca.

Tradicionalni pacemakeri postavljaju se ispod kože prsnog koša, a žice prolaze kroz vene do srcaNova tehnologija, koju je primijenila dr. Svjetlana Tišma-Dupanović, omogućuje izravnu ugradnju uređaja unutar srca, bez žica koje prolaze kroz krvne žile.

Foto: Facebook/Javna ustanova "More i krš"

Ovaj dvokomorni (biventrikularni) pacemaker sinkronizira rad pretklijetki i klijetki, čime se postiže pravilniji ritam i učinkovitije pumpanje krvi, objavio je dr. Edhem Čustović na svojoj Facebook stranici, prenosi Jabuka.tv.

Dr. Svjetlana Tišma-Dupanović rođena je u Mostaru, a diplomirala je medicinu na Sveučilištu u Sarajevu 1987. godine. Nakon toga posvetila se pedijatriji i kardiologiji te postala jedna od najuglednijih stručnjakinja u području pedijatrijske elektrofiziologije, grane medicine koja se bavi poremećajima srčanog ritma kod djece i adolescenata.

Foto: Facebook/Javna ustanova "More i krš"

Danas obnaša funkciju ravnateljice Službe za elektrofiziologiju pri bolnici Nemours Children’s Hospital u Orlandu (Florida), gdje vodi tim koji se bavi ugradnjom naprednih srčanih uređaja i istraživanjem novih terapijskih tehnologija. Osim bogatoga kliničkog iskustva, dr. Tišma-Dupanović autorica je brojnih stručnih radova i predavačica na međunarodnim kongresima.

Još nema komentara

Nema komentara. Prijavite se i budite prvi koji će dati svoje mišljenje.
Važna obavijest

Za komentiranje je potrebna prijava/registracija. Ako nemate korisnički račun, izaberite jedan od dva ponuđena načina i registrirajte se u par brzih koraka.

Želite prijaviti greške?

Još iz kategorije

Kupnja

Pretplata