Bizaran slučaj

Nakon vađenja umnjaka počeo čudno štucati, rendgen otkrio uzrok

zubar
20.03.2026.
u 21:17

Rutinsko vađenje umnjaka za muškarca iz Brazila pretvorilo se u pravu dramu nakon što je počeo osjećati neobično i bolno štucanje.

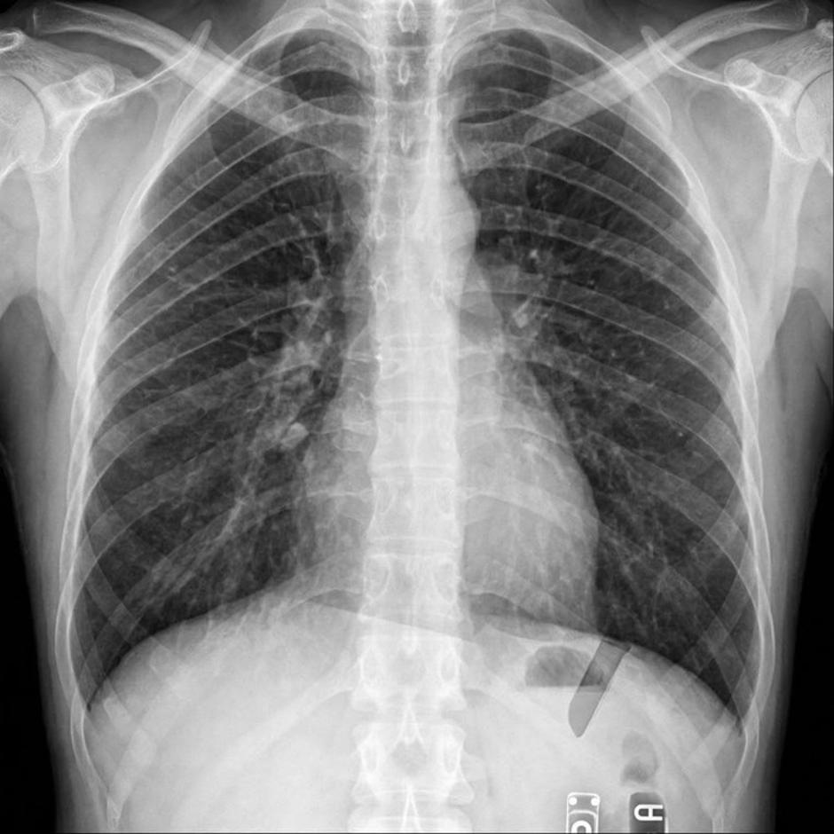
Rendgenska snimka prsnog koša otkrila je bizaran uzrok njegovih tegoba - jedan od izvađenih umnjaka završio mu je u plućima.

Artur iz São Paula svoju je priču podijelio na Redditu, gdje je objavio i rendgensku snimku. Ispričao je da su mu zubari rekli kako mora izvaditi sva četiri umnjaka, a kako se jako boji igala, tražio je da tijekom zahvata bude pod sedacijom.

Na početku se činilo da je sve prošlo bez problema. No nakon operacije zubar mu je rekao da je jedan zub skliznuo niz grlo te pretpostavio da ga je progutao, piše Index.

Nakon operacije krenuli problemi

Artur je nakon zahvata otišao kući i isprva, osim očekivane boli u ustima, nije primjećivao ništa ozbiljno. Onda su se pojavili čudni simptomi.

"Počeo sam jako čudno štucati. Bilo je snažno i boljelo me u prsima. Događalo se samo kad bih stajao, a kad bih legao, prestalo bi", rekao je za Newsweek.

Kad je tijekom noći dobio i temperaturu, nazvao je stomatologa, koji je posumnjao da je možda udahnuo zub. Savjetovao mu je da odmah ode u bolnicu i napravi rendgensku snimku prsnog koša.

Snimka je potvrdila sumnju - umnjak mu je doista završio u plućima. Liječnici su mu objasnili da pacijent u takvoj situaciji obično zakašlje ili proguta zub, no kako je Artur bio pod sedacijom, taj refleks nije radio.

Izvadili mu zub i sve je završilo dobro

Zub su mu potom izvadili bronhoskopijom, postupkom u kojem liječnici malom kamerom ulaze u dišne putove i pluća kako bi pronašli i uklonili strano tijelo.

Na sreću, sve je završilo bez trajnih posljedica. Artur je rekao da su simptomi nestali odmah nakon zahvata i da se brzo oporavio.

Njegova objava izazvala je brojne reakcije na Redditu, a mnogi su priznali da ih je priča prilično prestrašila, osobito oni kojima tek slijedi vađenje umnjaka.

Artur je na kraju poručio da je svoju priču podijelio i kao upozorenje drugima da ne ignoriraju neobične simptome jer strano tijelo u plućima, ako se na vrijeme ne otkrije, može izazvati ozbiljne komplikacije.

Još nema komentara

Nema komentara. Prijavite se i budite prvi koji će dati svoje mišljenje.
Važna obavijest

Za komentiranje je potrebna prijava/registracija. Ako nemate korisnički račun, izaberite jedan od dva ponuđena načina i registrirajte se u par brzih koraka.

Želite prijaviti greške?

Još iz kategorije

Kupnja

Pretplata