Skupina njemačkih i hrvatskih znanstvenika s prof. dr. sc. Lukom Čičin-Šainom, voditeljem Odjela za virusnu imunologiju Helmholtz Centra za infektivna istraživanja u Braunschweigu, objavila je u časopisu Nature Communications novu studiju koja se tiče herpesa, odnosno citomegalovirusa, herpesvirusa iz podobitelji beta-herpesvirusa. U ovom su istraživanju sudjelovali i znanstvenici sa Veterinarskog fakulteta Sveučilišta u Beču, Medicinskog fakulteta Sveučilišta u Rijeci te Centra za individualiziranu infektivnu medicinu, zajedničke inicijative Helmholtz centra i Medicinskog fakulteta u Hannoveru.
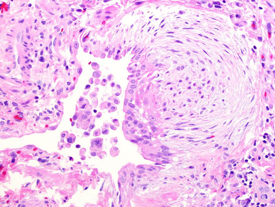
Riječ je o promjeni paradigme, odnosno dosadašnjeg vjerovanja kako takvi virusi jednu vrstu stanica trebaju kako bi ostali u latenciji, dakle neaktivni, a drugu da bi se razmnožavali, ne i jedno i drugo istodobno u istoj stanici. Vjerovalo se da ako je virus prisutan i u latenciji, tada se ne može više u toj stanici razmnožavati. Latencija virusa je situacija kada virus opstaje u organizmu bez da izaziva bolest, ali se može nanovo reaktivirati i ugroziti zdravlje u sklopu stečene imunodeficijencije. To bi bilo, na primjer ako bolesnik biva ozračen zbog leukemije ili prima imunosupresivnu terapiju da se izbjegne odbacivanje presađenog organa. U ovom radu dokazuje se kako takav herpesvirus može ostati neaktivan i razmnožavati se u istoj stanici. Ta stanica bila bi fibroblast, odnosno stanica koja pridonosi stvaranju vezivnog tkiva, vlaknastog materijala koji povezuje tkiva i organe u našem tijelu. Tako je ovo otkriće osobito važno u kontekstu transplantacija jer je kod takvih pacijenata imunitet nakon operacije slab pa pojava citomegalovirusa može biti za njih i fatalna. Ovim se radom dokazalo da fibroblaste taj virus ne koristi samo za replikaciju već i za latenciju. Druga je nova paradigma u ovom radu što virus kontrolira kako će koristiti koju stanicu fibroblasta ali ne samo kroz stanične čimbenike već i kroz interakciju s imunološkim sustavom.
- U članku smo radili na citomegalovirusu (CMV), uzročniku čestih oportunističkih infekcija kod transplantiranih bolesnika, i pripadniku obitelji herpes virusa. Pokazali smo u ciljanim eksperimentima da virusi ove podskupine herpesa održavaju svoju latenciju u stanicama vezivnog tkiva premda se u istim stanicama razmnožavaju. To je novi princip u virologiji, jer herpesi u pravilu koriste jednu vrstu stanica za razmnažanje (npr. stanice epitela usnica) a drugu za latenciju (npr. neuralne stanice trigeminalnog ganglija, čiji zivčani završeci idu do usnica). CMV koristi jedne te iste stanice za obje uloge, a regulacija ovog ciklusa se vrši preko imunih signala, izvijestio je prof. Čičin-Šain.
Pojasnio je kako su imuni signali ovdje konkretno interferonski signali, nizvodno od interferonskih receptora (kad se interferoni vežu za stanice pa potaknu signale da stanice aktiviraju protuvirusne gene).
- Ovo otkriće nam omogućuje da razvijamo bolje lijekove protiv citomegalovirusa jer sada bolje razumijemo biologiju virusa i u kojim stanicama se zadržava. Kao ograničenje treba navesti da su ovo eksperimenti na modelu miša i da je potrebno da se slični rezultati potvrde u ljudskim tkivima. Ishodili smo etičku dozvolu i krenuli s istraživanjima na operativnim resektatima (u sklopu planiranih operacija, npr. zbog tumora), ali tu još nemamo jasnih rezultata, kazao nam je prof. Čičin-Šain.

