NEVJEROJATNO!

Otišao na pregled zbog bolova u leđima, pa mu otkrili nešto neuobičajeno

Sofya Sandurskaya/Moscow News Agency/Handout /REUTERS
VL
Autor
Vecernji.hr
14.05.2020.
u 07:34

Tri bubrega je relativno neobičajna pojava, navode stručnjaci

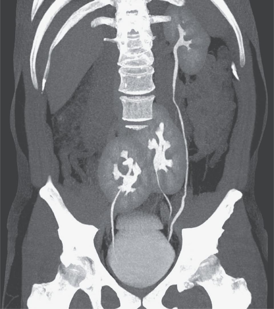
Zbog teških bolova u donjem dijelu leđa, liječnici su poslali 38-godišnjeg Brazilca na CT sken. Sken je otkrio uzrok boli - herniju diska, ali i prisutnost tri bubrega. 

Liječnici iz bolnice Do Rim u Sao Paulu vidjeli su lijevi bubreg normalnog izgleda i dva spojena bubrega na području zdjelice, navodi se u članku objavljenom u uglednom medicinskom časopisu The New England Journal of Medicine. 

Foto: nejm.org

Tri bubrega je relativno neobičajna pojava, navode stručnjaci i ističu kako je otkriće istih najčešće slučajno jer rijetko uzorkuje probleme. Smatra se kako se za to ni ne zna osim ako se ne napravi CT sken zbog nekog drugog zdravstvenog razloga, kao što je to bio slučaj s 38-godišnjim Brazilcem. 

Vjeruje se kako je do pojave trećeg bubrega došlo zbog abnormalnih procesa za vrijeme formacije embrija, navodi Fox. 

Ključne riječi

Još nema komentara

Nema komentara. Prijavite se i budite prvi koji će dati svoje mišljenje.
Važna obavijest

Za komentiranje je potrebna prijava/registracija. Ako nemate korisnički račun, izaberite jedan od dva ponuđena načina i registrirajte se u par brzih koraka.

Želite prijaviti greške?

Još iz kategorije

Kupnja

Pretplata